Мог разве что шептать: московские хирурги спасли школьника из Калининградской области, вдохнувшего булавку

12 февраля 2026, 11:24

Мог разве что шептать: московские хирурги спасли школьника из Калининградской области, вдохнувшего булавку

Ребёнка в экстренном порядке доставили в федеральный центр бортом санавиации. До этого врачи по месту жительства провели телемедицинскую консультацию и попытались извлечь инородное тело, однако приняли решение о переводе пациента в Москву.

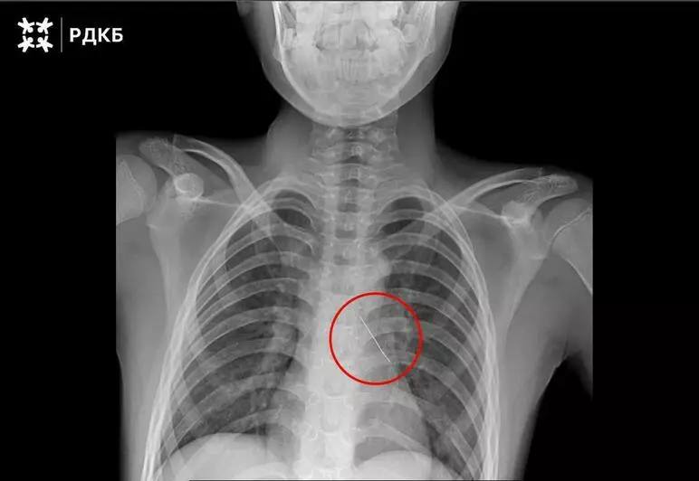
При поступлении мальчик мог говорить только шёпотом и жаловался на сильные боли в груди. Рентген показал, что булавка находится в области нижней доли левого бронха.

Булавку аккуратно извлекли под визуальным контролем с помощью оптических щипцов, это позволило минимизировать кровотечение. Контрольная рентгенография показала, что свободного воздуха в грудной полости нет.

Послеоперационный период прошёл без осложнений. Через три дня мальчика выписали под наблюдение врачей по месту жительства

Популярные новости за сутки

Это интересно

Больше новостей на Kaliningrad-news.ru